京都府京田辺市(宇治田原、松井山手、井出) 歯医者インプラント治療審美歯科矯正歯科小児歯科予防歯科口腔外科訪問診療可

インプラント矯正歯科訪問診療京都府京田辺市、宇治田原、松井山手、井出|さくら歯科クリニック

さくら歯科クリニックのコンセプト

非抜歯症例

非抜歯症例

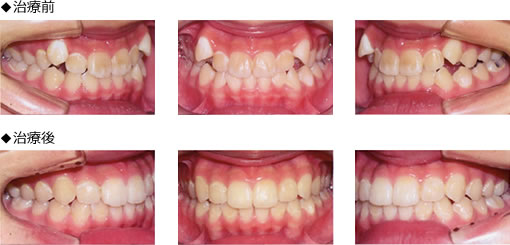
抜歯症例

抜歯症例

受け口

受け口

叢生

叢生

正中離開

正中離開

出っ歯

出っ歯

症例集
スタッフ紹介
訪問診療について
求人のお知らせ
安心の診療体制
リンク集
リンク集
Valid XHTML 1.0 Transitional
Valid CSS!
さくら歯科クリニック Valid
Another HTML -lint
さくら歯科クリニック Valid
さくら歯科クリニック コンテンツ

ホームコンセプト診療科目院内案内料金アクセススタッフ紹介求人案内リンク集お問い合わせ

一般歯科小児歯科インプラント矯正歯科予防歯科審美歯科口腔外科訪問診療について